今回は、全身麻酔前(手術前)の検査についてのレポートです。現在、2026年ですが、私が凡そ25年前に小動物医療現場に入りました。当時も現在と同じように去勢や避妊手術が多く行われていました。当時に比べて現在では、手術前に血液検査とレントゲン検査などを行う比率が高くなりましたが、それでも手術前の検査は必要ないと言われることもあります。手術前の検査は本当に必要なのでしょうか? 単純に個人的には必要な検査だと思います。
身体検査
勿論、聴診と触診といった身体検査から始まります。身体検査で何か異常が確認される場合には、当然追加検査が必要になります。例えば、呼吸音がおかしい、心音が雑音をしめす、お腹の中に何かしこりがあるなどの場合です。若齢期に行われる去勢・避妊手術では乳歯が残っているなどのケースもあります。
血液検査
次に血液検査です。血液検査では、腎臓の機能が落ちている、肝臓の数値が高い、膵臓の数値が高い、貧血がある、血小板の数が少ないなど身体検査ではわからない項目を調べることで全身麻酔を回避したり、あるいは全身麻酔後に再度、血液検査をすることで悪化していないか?確認することが出来ます。例えば、手術前には血液検査を行わず、手術後に食欲がないため血液検査を行い肝臓の数値が著しく高かった場合、元々麻酔前から肝臓の数値が高かったのか? 全身麻酔による影響で高くなってしまったのか?わかりません。
レントゲン検査
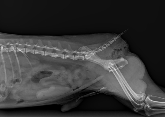
次にレントゲン検査です。レントゲン検査は胸部撮影が基本です。胸部レントゲンでは、心臓の大きさや形態が大まかにわかります。肺に病変がないか?なども確認します。他にも胸腔内を走行する血管や気管などを確認することが出来ます。全身麻酔は、循環機能を低下させ、呼吸機能も低下させますので、重度に心臓機能が低下したり、肺機能が低下している症例に対して、全身麻酔を行った場合に、麻酔時間に関係なく危険であることは明白です。特に猫の肥大性心筋症などでは注意が必要です。次の写真は肥大性心筋症の写真です。
具体例
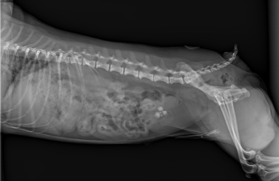
例えば、犬でも猫でも暴れて手術前に検査が出来ない症例もいます。特にノラネコの去勢手術や避妊手術などです。普段、外で生活しているためよくわかりません。昨年こんなことがありました。ノラネコの去勢手術を依頼され、狂暴のため触ることもできません。麻酔をかけ去勢手術を終えて麻酔を覚ましましたが、一向に覚めません。慌てて、血液検査とレントゲン検査を行った所、横隔膜ヘルニアのため換気不全の状態になってしまいました。その後は一命を取留めましたが、心肺蘇生などを行い回復まで時間を要しました。次の写真はその際の写真です。
結論
以上のことより出来ることなら全身麻酔をかける前には身体検査や血液検査、レントゲン検査等を行った方が良いと考えます。他にも尿検査やエコー検査を実施する症例などもいます。当院でできる検査は限られていますが、飼主様には必ず術前の血液検査やレントゲン検査を勧めています。ただし、最終的に全身麻酔前に検査をするか?しないか?は飼主さんの判断に委ねられます。それでも絶対安全な全身麻酔はないことだけは飼主様にお伝えしてからお預かりしています。



















